When your smile or eating is so compromised (in bad shape) that you can’t or don’t want to save teeth, often a denture or partial is an excellent and beautiful answer to a more beautiful smile and healthier eating. Dentures or partials can be immediate (teeth in teeth out at the same time) or made on healed extraction sites. What is important is that the teeth are esthetically pleasing and function well, and will last for a very long time with proper care. Our dentures and partials are not quickly made. But when we present them to the patient, we are happy, and the patient is happy, or we change something and remake them. First pictures are taken of your mouth we have a discussion about what is wanted and expected. Then impressions are taken. The first step is called a wax rim. This allows us to both look at and agree on lip support, length and size of teeth and any special requests you may have. Some people want a perfect smile. Others want their smile to look like their teeth did before. Some just want them to look more natural. We can accommodate most requests. Then we try in the “rim” with the requested appearance in wax so it is still easy to change. When everyone is happy we have the teeth “processed”. Then, if this is an immediate, we will take out any remaining teeth and place your new beautiful smile. Just like a new pair of shoes, the teeth may require several adjustments. We make these visits easy to schedule because we know you don’t want to take off too much work for this very brief appointment. When it comes to adjustments, we’re not thru until you are happy. Explicit directions are given on how to take care of your new smile so you will have a lifetime investment.. One of my all time favorite procedures and one where I get lots of hugs and tears, mine included.
Removable Dentures – Canton, MS
Tooth loss does more than affect a person’s self-image, it can also affect their ability to eat and talk, and if left untreated, can lead to other health disorders. While there are several options for treatment, one reliable and time-tested method is full or partial dentures.
How Do Removable Dentures Work?
Dentures are made from a plastic resin that matches the color of natural gums. Prosthetic teeth project from the base are designed to look and function like your natural teeth. It is important for dentures to fit properly, both for your personal comfort and to ensure that they are stable when you are wearing them. It may take some time to get used to eating and talking while wearing dentures, but eventually the muscles, nerves, and ligaments in your mouth adjust, allowing you to resume life as usual.
Types of Dentures
There are many types of dentures, and your dentist will help you determine which kind best suits your individual needs.
Types of full dentures include:
- Immediate Dentures – These are usually temporary and intended to help you adjust to wearing dentures. They do not fit as well as permanent dentures, but they do provide you with new teeth immediately after an extraction.
- Conventional Full Dentures – After a period of time, permanent conventional dentures can be crafted to look like your natural teeth, function properly, and conform to your mouth with near-perfect accuracy.
- Implant-Supported Dentures – To increase the stability of your dentures, it is possible to anchor them with the help of dental implants.
Types of partial dentures include:
- Transitional Partials – These removable plastic dentures temporarily replace your missing teeth while keeping your natural teeth spaced properly as you wait for your mouth to heal from an extraction.
- Removable Partials – These metal-based removable partials are lighter and less obtrusive than transitional partials. They are a little more expensive than plastic dentures, but will fit better.
If you or a loved one has ever considered dentures, contact Dental Solutions of Mississippi to schedule a consultation. We are experts at making sure your smile looks and feels great.
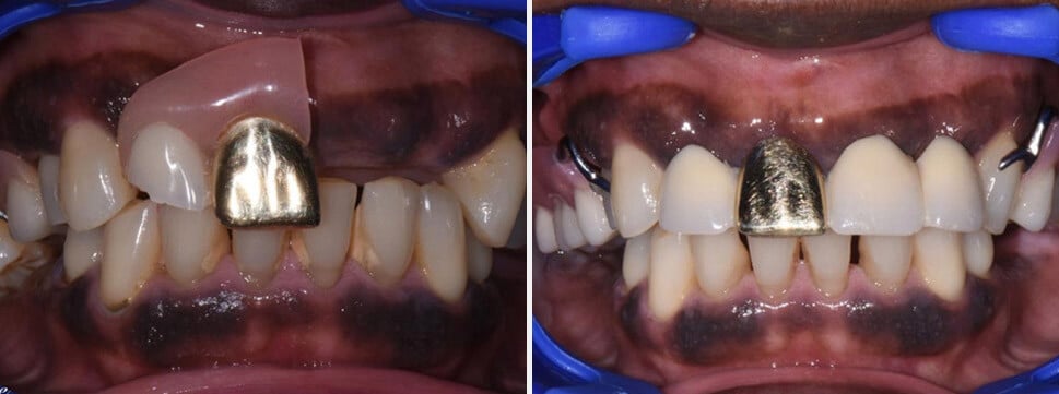
Real Patient Examples of a Partial Denture


